 |
審美歯科・ホワイトニング(自費治療) |
NEW! 歯肉着色除去
レーザー治療で歯肉を明るい色にできます。
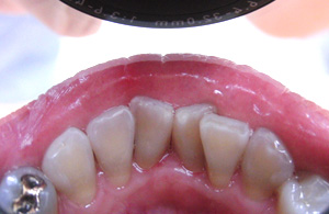
口元の歯並びや色が気になる
口元は顔貌を構成する上で重要な位置を占めています。歯並びや色が違っただけで人に与える印象はずいぶん違ってきます。歯並びは見た目だけでなく、歯並びが悪いために虫歯になったり歯周病に影響を与えたりします。また、顎や噛みあわせにも影響を与えるので十分注意しましょう。
PMTC
PMTCとは毎日自分で行なう歯みがきでは落とすことのできない、
しつこい歯のよごれを当院で専用機器を使用して綺麗にクリーニングをする事を言います。
知らず知らず毎日の歯磨きで磨き残した部分や
歯ブラシで磨くことが難しい歯周ポケット内の歯の根部も綺麗に磨き上げ、汚れを取り除きます。
あくまでも、歯石を取る治療ではなくて、心地の良い刺激で行います。 |
 |
PMTCでタバコのヤニとり、歯の表面の着色とり、
歯の表面につく歯垢をつきにくくする、歯質の強化、歯周ポケットの清掃などが出来ます。 |
PMTC施術前
|
PMTC施術後
|

第22回 日本歯科審美学会学術大会 に出席しました
演歌歌手 谷本知美さんのコメントはこちら
歯のエステ<ホワイトニング>
最近、美容の追求が盛んになり、まわりにはエステティックサロンに通う方がたくさんおられると思います。しかも美の追求は、ビタミン剤などの栄養補助食品摂取から腸内洗浄、プチ整形と、やり方も多様になってきているようです。美容は、お肌ばかりではありません。口元も重要なポイントなのです。
あなたの口元は大丈夫ですか?毎日の歯ブラシだけで安心していませんか?
歯のカタチや並び方、お口の中の状態によっては、どうしても歯石(プラーク<歯こう>が固まって石状になったもの)が増えたり、歯に色がついてきたり、あげくの果てには口臭が気になったりと専門家の手助けが必要になる時が多々あります。当医院では、歯を白くするホワイトニングをはじめ、あらゆる方法で、あなたの健康、美の向上の手助けができます。あなたの口元にさらなる磨きをかけ、素敵な笑顔を維持してみませんか?
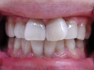
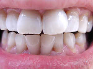
着色してしまった歯が...............ホワイトニングでこんなに美しく!
1. 
|
2. 
|
インフォームドコンセント |
シェードメモで色調の記録/確認
前処置としてPMTCを行います。 |
|
|
3.  |
4.  |
印象採得後、
マウストレーの制作
試着・調整と使用法の説明
装着は1日2時間以内で
期間は最長2週間 |
ジェルの注入
マウストレーの指示された
位置にジェルを注入します。 |
| |
|
5.  |
6.  |
マウストレーの装着
歯肉にトレーが接触すると
不快感や炎症が生じる
場合がございます。 |
お手入れ
修了後はマウストレーの変形を
防ぐため伸張に口から取り出し、
口中やマウストレーを
十分に水洗いします。 |
| |
|
予後観察
知覚過敏やトレーの変形などに対応できるように1週間毎の来院により、
経過観察を行います。使用期間終了後、半年から1年後には予後観察を
行うことをお勧め致します。 |
※医療法人おち穂会岸和田デンタルクリニックは、歯石除去など根本的にお口の中を健康にした上での美容追求をお奨めしています。もちろん健康保険証が使えるものもございますので、気軽にスタッフにお尋ね下さい。まずは歯の健康診断から始めてみましょう。
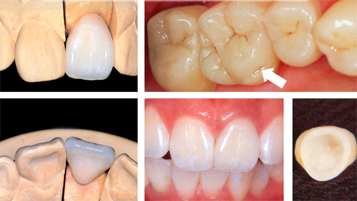
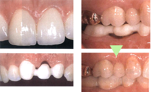
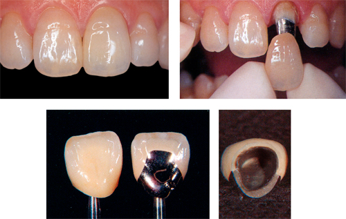
かぶせもの:
□オールセラミック
セラミックのみの審美性重視し、なおかつ硬さも一番硬い歯の色調を合わせられる。
□ジルコニアオールセラミック
90%以上の酸化ジルコニウムを主成分とした高強度のクラウンブリッジ用のフレームです。審美を目的とした素材だけでなく、高い強度と自然美、長期保存による脱金属治療として使用されています。
□メタルボンド
金属のかぶせもの上にセラミックを焼き付け歯の色調を合わせられる。
□ラミネートベニア
前歯の並びを綺麗にしたり虫歯がある時、歯の表面に薄く付けて審美性を保つもの。
□義歯
・金属床(自費診療 )
・ノンクラスプ義歯(自費診療 )
・ナチュラルデンチャー(自費診療 )
|