院内の治療は、健康保険適用の一般の治療(小児歯科含む)以外に、審美歯科治療も行っております。また、歯科検診や口腔衛生指導(ブラッシング指導等)も行っております。ご予約の際には気軽にその旨お伝えください。内容は来院時お問い合わせください。
義歯
金属床(自費診療 )
歯茎の粘膜面を金属にして、耐久性、味覚、熱伝導が改善される。

保険治療と金属床の違い
|
|
|
ノンクラスプ義歯(自費診療 )
入れ歯の留め金の歯のバネを無くし、入れ歯を入れていることがわかりにくいもの。
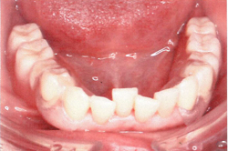
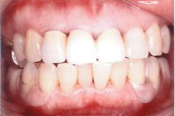
症例1
 |
|
|
|
|
症例2
ナチュラルデンチャー(自費診療 )
インプラント治療がこわい、金属アレルギーで悩んでいる、金属バネが気になる、目立たない入れ歯が欲しい、、、などのお悩みにお応え致します。下図のような3種類のカラーをご用意。
【ナチュラルデンチャー】
世界30カ国に普及している辞せ際の義歯で、外科洋の縫会意図を使用しており、生体親和性にも優れている標準モデルです。色は下図3色をご用意 <審美生重視>

|
|
|
【ナチュラルデンチャープラス】
ナチュラルデンチャーのハイグレードモデル。特殊加工を施すことで透明とピンクの色分けを実現。限られた歯科医院でのみお取り扱いしています。<審美生重視>

|
|
|
【クラスM】
保険の入れ歯を装着した際に感じる口の中の異物感を最小限に抑えることを目的としたもの
<強度/装着感重視>

|
|